Caput succedaneum
| Caput succedaneum | |
|---|---|
![]() | |
| Newborn Scalp bleeds | |
| Specialty | Neonatology |
Caput succedaneum is a neonatal condition involving a serosanguinous, subcutaneous, extraperiosteal fluid collection with poorly defined margins caused by the pressure of the presenting part of the scalp against the dilating cervix (tourniquet effect of the cervix) during delivery.
It involves bleeding below the scalp and above the periosteum.[1]

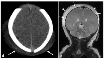
d)Axial CT image in a male infant with history of traumatic delivery demonstrate scalp soft tissue overlying bilateral parietal regions and crossing the sagittal suture e) demonstrates a deep subaponeurotic scalp fluid collection crossing the sagittal suture and extending anteriorly into the right temporal region, consistent with subgaleal hematoma, superficial overlying fluid collection with a similar distribution also noted; collection is within the subcutaneous fibrofatty tissues superficial to galea aponeurosis and is consistent with caput succedaneum
See also
References
- ↑ Diane Fraser (9 April 2009). Myles Textbook for Midwives. Elsevier Health Sciences. p. 860. ISBN 978-0-443-06939-0. Retrieved 12 April 2010.
External links
| Classification | |
|---|---|
| External resources |
This article is issued from Offline. The text is licensed under Creative Commons - Attribution - Sharealike. Additional terms may apply for the media files.
