Supraclavicular lymph nodes

Supraclavicular lymph nodes are lymph nodes found above the clavicle, that can be felt in the supraclavicular fossa. The supraclavicular lymph nodes on the left side are called Virchow's nodes.[1] It leads to an appreciable mass that can be recognized clinically, called Troisier sign.[2]

Supraclavicular lymph nodes
Lymphatic vessels of the head and neck, with the supraclavicular lymph nodes described as "deep cervical lymph nodes", visible at the bottom
Deep Lymph Nodes
  1. Submental
  2. Submandibular (Submaxillary)
Anterior Cervical Lymph Nodes (Deep)
  1. Prelaryngeal
  2. Thyroid
  3. Pretracheal
  4. Paratracheal
Deep Cervical Lymph Nodes
  1. Lateral jugular
  2. Anterior jugular
  3. Jugulodigastric
Inferior Deep Cervical Lymph Nodes
  1. Juguloomohyoid
  2. Supraclavicular (scalene)
Details
SystemLymphatic system
Identifiers
Latinnodi lymphoidei supraclaviculares
FMA14192
Anatomical terminology

Structure

A Virchow's node is a left-sided supraclavicular lymph node.

Clinical significance

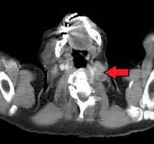
An enlarged Virchow's node as seen on CT

Malignancies of the internal organs can reach an advanced stage before giving symptoms. Stomach cancer, for example, can remain asymptomatic while metastasizing. One of the first visible spots where these tumors metastasize is one of the left supraclavicular lymph node.

Virchow's nodes take their supply from lymph vessels in the abdominal cavity, and are therefore sentinel lymph nodes of cancer in the abdomen, particularly gastric cancer, ovarian cancer, testicular cancer and kidney cancer, that has spread through the lymph vessels, and Hodgkin's lymphoma.[1] Such spread typically results in Troisier's sign, which is the finding of an enlarged, hard Virchow's node.[1]

The left supraclavicular nodes are the classical Virchow's node because they receive lymphatic drainage of most of the body (from the thoracic duct) and enters the venous circulation via the left subclavian vein. The metastasis may block the thoracic duct leading to regurgitation into the surrounding Virchow's nodes. Another concept is that one of the supraclavicular nodes corresponds to the end node along the thoracic duct and hence the enlargement.[3]

Differential diagnosis of an enlarged Virchow's node includes lymphoma, various intra-abdominal malignancies, breast cancer, and infection (e.g. of the arm). Similarly, an enlarged right supraclavicular lymph node tends to drain thoracic malignancies such as lung and esophageal cancer, as well as Hodgkin's lymphoma.

History

Virchow's nodes are named after Rudolf Virchow (1821–1902), the German pathologist who first described the nodes and their association with gastric cancer in 1848.[4] The French pathologist Charles Emile Troisier noted in 1889 that other abdominal cancers, too, could spread to the nodes.[5]

Additional images

References

Public domain This article incorporates text in the public domain from page 697 of the 20th edition of Gray's Anatomy (1918)

  1. page 400 in: M. Hohenfellner, R.A. Santucci (2007). Emergencies in Urology. Springer Science & Business Media. ISBN 978-3-540-48605-3.
  2. Zdilla, Matthew J.; Aldawood, Ali M.; Plata, Andrew; Vos, Jeffrey A.; Lambert, H. Wayne (25 February 2019). "Troisier sign and Virchow node: the anatomy and pathology of pulmonary adenocarcinoma metastasis to a supraclavicular lymph node". Autopsy & Case Reports. 9 (1): e2018053. doi:10.4322/acr.2018.053. PMC 6394356. PMID 30863728.
  3. Mizutani, Masaomi; Nawata, Shin-ichi; Hirai, Ichiro; Murakami, Gen; Kimura, Wataru (December 2005). "Anatomy and histology of Virchow's node". Anatomical Science International. 80 (4): 193–198. doi:10.1111/j.1447-073x.2005.00114.x. PMID 16333915. S2CID 40130186.
  4. Virchow R (1848). "Zur Diagnose der Krebse in Unterleibe". Med. Reform. 45: 248.
  5. Troisier CE (1889). "L'adénopathie sus-claviculaire dans les cancers de l'abdomen". Arch. Gen. Med. 1: 129–138 and 297–309. NAID 10005635161.

Further reading

  • Cervin, J. R.; Silverman, J. F.; Loggie, B. W.; Geisinger, K. R. (1995). "Virchow's node revisited. Analysis with clinicopathologic correlation of 152 fine-needle aspiration biopsies of supraclavicular lymph nodes". Archives of Pathology & Laboratory Medicine. 119 (8): 727–30. PMID 7646330. INIST:3670181 NAID 10026546830.
  • Negus, D; Edwards, J M; Kinmonth, J B (7 December 2005). "Filling of cervical and mediastinal nodes from the thoracic duct and the physiology of virchow's node—studies by lymphography". British Journal of Surgery. 57 (4): 267–271. doi:10.1002/bjs.1800570407. PMID 5437920. S2CID 19698597.
  • Mizutani, Masaomi; Nawata, Shin-ichi; Hirai, Ichiro; Murakami, Gen; Kimura, Wataru (December 2005). "Anatomy and histology of Virchow's node". Anatomical Science International. 80 (4): 193–198. doi:10.1111/j.1447-073x.2005.00114.x. PMID 16333915. S2CID 40130186.
This article is issued from Wikipedia. The text is licensed under Creative Commons - Attribution - Sharealike. Additional terms may apply for the media files.